Archivio Storico News
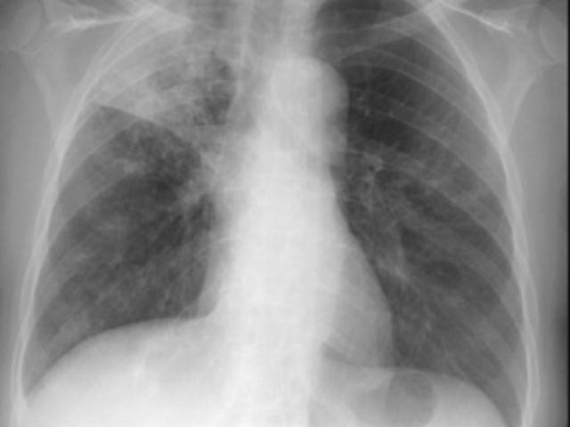
Salute: malattia tubercolare e’ emergenza mondiale
CATANZARO – (ASCA) – ”Tubercolosi, malattia riemergente. Percorsi clinici, diagnostici e terapeutici”.
E’ stato il tema di grande attualita’ del prestigioso corso di formazione che si e’ tenuto a Lamezia Terme, nell’aula formazione dell’ospedale ”Giovanni Paolo II”, al quale hanno partecipato medici specialisti, veterinari, infermieri, biologi e tecnici di laboratorio biomedico, provenienti da tutta la regione. L’iniziativa ha assunto grande rilevanza non solo perche’ per la prima volta diverse figure professionali, impegnate quotidianamente nella gestione dell’infezione tubercolare, si sono riunite per affrontare le diverse problematiche sul tema, ma anche per l’autorevolezza dei relatori. La malattia tubercolare rappresenta ancora oggi una emergenza sanitaria mondiale. In Italia il numero di nuovi casi di malattia e’ intorno a 7 per 100.000 abitanti ed il rischio di contrarre la malattia e’ maggiore in determinati gruppi: immigrati, operatori sanitari, tossicodipendenti, immunodepressi, detenuti, anziani. Gli immigrati, che provengono da Aree geografiche ad alta endemia, spesso sviluppano la malattia nel Paese ospite, a causa delle disagiate condizioni igienico-sanitarie ed economiche in cui vivono. La strategia che l’ O.M.S. ha messo in atto per combattere il diffondere della malattia e’ basata principalmente sulla individuazione dei malati, dei portatori di infezione latente e sulla tempestiva identificazione dei ceppi di micobatteri multi-resistenti (MDR) ed estensivamente resistenti (XDR).
Il corso di aggiornamento e’ stato organizzato dall’U.O.
Formazione e Qualita’ dell’ASP di Catanzaro, diretta dalla dott.ssa Clementina Fittante e dal Comitato Scientifico composto dalla dott.ssa Rosa Anna Leone, Direttore dell’U.O.
Microbiologia e Virologia dell’ospedale di Lamezia Terme, dal dott. Salvatore Nistico’, Responsabile del Settore di Micobatteriologia (Centro di Riferimento Regionale per la diagnostica avanzata di Tubercolosi) e dal dott. Lorenzo Antonio Surace, Responsabile del Dispensario Funzionale TBC di Lamezia Terme.
Social